牙齿拥挤给我们的日常生活带来了很大的不便,造成了不利的影响,那么牙齿拥挤到底有什么不好?下面我们请广州穗华口腔专家来为大家详细介绍。

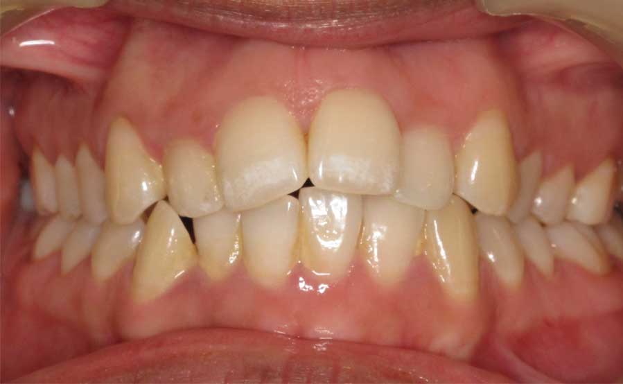
牙列拥挤
穗华口腔专家介绍:首先牙列拥挤影响牙齿清洁,减弱牙齿的自洁作用。牙齿排列不齐首先就会造成牙齿之间容易积存食物残渣,同时,排列不齐的牙齿在刷牙、使用牙线时都不容易将食物残渣彻底清洁干净,因此比整齐的牙齿更容易形成软垢、茵斑和牙石,继而给牙齿带来一系列的伤病。
其二牙列拥挤影响上下颌牙齿之间的咬合关系,进而影响正常的咀嚼功能,降低咀嚼效率,久而久之,可能因此而引起消化不良和胃肠功能的紊乱。有些牙齿可能会接触不到,而另一些牙齿承受了更大的力量。长期的受力过大,过度疲劳,牙齿、牙周都会不堪重负,损伤慢慢出现,终造成牙齿的过早脱落。
第三牙列拥挤影响发育,某些牙齿排列不齐,会妨碍上下牙弓颌骨的正常发育,使畸形愈来愈严重。牙列拥挤影响镶牙,如呆邻近需要镶牙处的牙齿排列不齐,就可能会对镶牙产生不良的影响。特别是一些美观效果好、舒适度高的修复方式,比如固定修复、种植修复等,都有可能受到牙齿排列不齐的影响,难以运用。
第四牙列拥挤易患牙病,牙列拥挤,牙齿排列不整齐,就很难保持口腔清洁,由于刷牙不容易刷干净,形成细菌滋生繁殖的理想场所,使牙齿容易发生龋齿、牙龈炎和牙周疾病等等。
穗华口腔是您爱牙的放心之选
穗华口腔医院是拥有百年人文底蕴的暨南大学附属口腔医院临床教学医院,是广东省卫生厅批准成立的口腔专科医院,是集口腔诊疗、教学和科研为一体的现代化口腔综合医院,承诺永远以顾客的牙齿健康为首要因素,确保给顾客高性价比的口腔治疗,如果您还有什么问题或需要帮助,可在线咨询或拨打热线:020-62266666,将您的问题告诉在线医生,专家将耐心为您分析解答,“百度100遍,不如咨询一次”。