随着人们生活水平的提高,对于自身的美丽的要求也是越来越高,牙齿整齐美容受到人们的关注,一口整齐洁白的牙齿能让人的魅力瞬间提升。随着医疗美容技术的发展,牙齿美容修复技术出现了,受到爱美人士的青睐,那么牙齿不齐能否做美容修复吗?下文请穗华口腔专家来介绍一下。
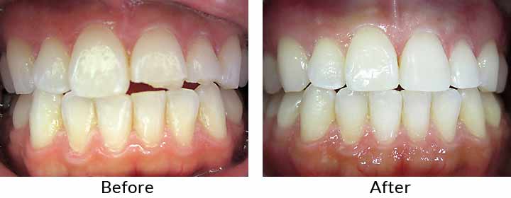
牙齿修复前后对比
美容修复是目前常用的一种牙齿正畸方法,能纠正各种畸形牙。
美容修复治疗采用无痛技术,美容后的牙齿恢复了口腔正常的发音且不需动及牙齿根部,保证良好的人体亲和性和口感舒适性,解除您爱美又怕痛的顾虑。美容修复咀嚼时的力量作用在牙冠上,采用金属与陶瓷粉相结合,足以承受咀嚼力,使牙冠比自然牙更坚固,新科技的粘贴技术,终生不脱落。
美容修复是在传统烤瓷牙的基础上强调牙齿的美容效果,对错位牙、畸形牙的临床冠部分施以专业手段,后用美容修复加以修复。具有美牙不拔牙,不戴牙套,无痛苦,时间短,牙齿坚固,多年后牙龈不会出现黑线等优点,从而达到终生有保障的美牙效果,是目前非常先进的牙齿矫正方式。做牙齿美容修复的话,只需要短短的7天时间就能实现牙齿整洁美观的情况,所以针对牙齿美容修复来说,这是值得大家放心选择的牙齿美容矫正技术。
穗华口腔是您爱牙的放心之选
穗华口腔医院是拥有百年人文底蕴的暨南大学附属口腔医院临床教学医院,是广东省卫生厅批准成立的口腔专科医院,是集口腔诊疗、教学和科研为一体的现代化口腔综合医院,承诺永远以顾客的牙齿健康为必要因素,确保给顾客高性价比的口腔治疗,如果您还有什么问题或需要帮助,可在线咨询或拨打热线:020-62266666,将您的问题告诉在线医生,专家不仅能耐心为您分析解答,还能提供预约挂号的服务,让你就诊更方便快捷,“百度100遍,不如咨询一次”。