牙齿长得歪斜不齐是非常普遍的现象,非常有损形象的,应该及时的进行牙齿矫正。牙齿美容修复就是一种很好的牙齿矫正的方法,轻松完成牙齿美容。那么,牙齿美容修复需要多长时间?下文就让我们了解一下吧。

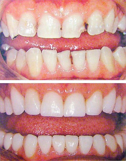
牙齿修复前后对比
据穗华口腔专家介绍,不同牙齿的情况,做美容修复需要多长时间,制作美容修复牙齿美容需要的时间是不一样的。
1、如果牙齿有牙体缺损,就不能直接美容修复,需要根管治疗后,先做桩,恢复做美容修复所需要的基本的形状,然后才能做美容修复。
2、果牙齿的健康状况完好,但是由于颜色问题影响美观,想通过美容修复牙齿美容修复来改善美观,这种情况需要的时间就比较快,第一次就诊磨完牙咬了牙印后,会制作暂时的塑料冠来保持美观.大概需要7天时间就能完成牙齿美容。
3、果牙齿有根尖病变而没有经过完善的根管治疗,在做美容修复牙齿美容之前就需要先做治疗,治疗完成后需要观察至少一周的时间才能开始美容修复牙齿美容修复。
穗华口腔是您爱牙的放心之选
穗华口腔医院是拥有百年人文底蕴的暨南大学附属口腔医院临床教学医院,是广东省卫生厅批准成立的口腔专科医院,是集口腔诊疗、教学和科研为一体的现代化口腔综合医院,承诺永远以顾客的牙齿健康为必要因素,确保给顾客高性价比的口腔治疗,如果您还有什么问题或需要帮助,可在线咨询或拨打热线:020-62266666,将您的问题告诉在线医生,专家不仅能耐心为您分析解答,还能提供预约挂号的服务,让你就诊更方便快捷,“百度100遍,不如咨询一次”。