美容修复为什么能风靡全球?
有疑问?点击咨询专家 全国免费咨询电话 020-6226 6666
     牙齿美容修复对于爱美人士来说是很熟悉的了,这是目前很受欢迎的牙齿美容方法,许多的明星大腕都喜欢用牙齿美容方法来矫正牙齿,那么牙齿美容修复为什么能风靡全球呢?下文给大家做出介绍。
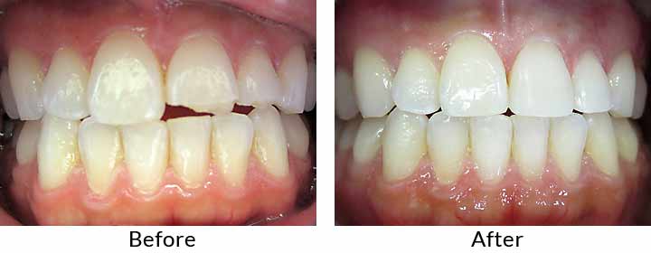
牙齿美容修复前后对比

 
  现在先来说说明星们所热衷的牙齿美容修复方法:
 
  金泰熙:前的金泰熙嘴部略微前突,牙齿也不整齐。美容修复矫正后,明显变得洁白整齐,遮盖了此前的美中不足,可以说变得完美无缺。
 
  小S:曾出书自曝自己是钢牙妹,成名后请国际着名美牙医生做了美容修复,现在面对镜头已经非常自信了。
 
  金喜善:金喜善刚出道时前排牙齿有点外露,所以很少露齿微笑,现在笑得多灿烂。
 
  穗华口腔美容修复牙齿:
 
  穗华口腔美容修复牙齿技术是流行于欧美、日韩的一种新兴牙齿美容技术,在传统烤瓷牙的基础上强调牙齿的美容效果,对错位牙、畸形牙的临床冠部分施以专业手段,后用美容修复加以修复。具有美牙不拔牙,无痛苦,时间短,牙齿坚固,多年后牙龈不会出现黑线等优点,从而达到终生有保障的美牙效果。
 
  适合做牙齿美容修复的人很多,常见的是:暴牙、虎牙、老鼠牙(牙小)、地包天、前牙拥挤、前牙稀疏、牙列不齐、牙齿缺损、烤瓷失败、错过矫正黄金期的成年人以及重度四环素牙等。
 
  美容修复的独特优势:
 
  色泽逼真:穗华口腔专家根据就诊者不同的牙色,采用德国VITA3D 比色技术,精确对比牙齿明度、饱和度和色泽。通过29个牙色层次化类比,确定出合适你的美容修复牙色,使成形后的牙齿达到完美的色调统一,天然逼真,常年保持美丽天然的光泽。
 
  美观大方:穗华口腔“美容修复”牙齿美容采用3D数码定位技术,对求美者牙齿的自然形态和颜色全面分析,根据牙冠、牙根、牙颈三部分形态,再结合专业牙齿美容医师的检测,制定出适合你的牙齿美容方案,成形后的牙齿美观大方,拥有明星般的漂亮牙齿不是梦。
 
  坚固持久:美容修复以很小的牙齿损伤来专业程度的恢复美观效果。牙齿只需要修整很少的牙齿组织(约0.5mm),甚至先进的材料可以考虑不修正“。有效避免细菌造成的快速龋齿,经过超高温数码科技处理的美容修复就像为牙齿穿上了坚固的“隔离衣”,使龋害“无孔可入”。数据分析显示,经“美容修复”美容后的牙齿至少可以承受100公斤拉力!可保持终生不脱落。
 
  高效快速:求美者从美牙咨询到美牙结束只需短短的7天时间,并7天时间中只需来院两次。第一次,专家将根据求美者情况形成美容修复设计方案,并制作出修复模型。第二次,经专业加工厂根据求美者“美容修复”模型,施以多重高科技设备处理后的美容修复,让求美者正式接受美容修复牙齿,方便快捷,大大提高了美牙的效率。
 
  安全无痛:穗华口腔采用独特的牙齿修复技术,不仅仅在全过程中不会有痛楚,还尽大地降低酸涩感,对牙龈牙体均无伤害;缩短治疗时间,减少张口时长,舒适无痛,在轻松的音乐中完成。美牙不需动及牙根,更不会拔牙,彻底解除你爱美又怕痛的顾虑。
 
  综上所述,相信你已经明白了美容修复为何能风靡全球,在这里温馨提醒您美容修复牙齿一定要选择专业的正规医院才能够保证好的效果,穗华口腔医院牙齿美容技术和设备先进,关于美容修复的更多信息,你可以点击咨询在线专家了解详细信息。

穗华口腔专家团队

>>more

  • 赖仁发 主任医师

    穗华口腔医院总院长
    暨南大学附属第一医院口腔医学中心主任导师
    国家教育部高等学校口腔医学专业教学指导委员会委员
    国家教育部医学教育题库(口腔医学)建设指导委员会委员

  • 冯智强 主任医师

    穗华口腔医院种植技术院长
    广东省口腔医师协会理事
    广东省医学教育协会口腔种植学专业委员会委员
    广东省整形美容口腔医学会委员
    广东省口腔颌面外科专业委员会委员
    广东省颞下颌关节病学及牙合学专业委员会委员
    广东省口腔医学会医院感染控制与管理专业委员会委员
    《实用医学杂志》审稿专家
    美国牙科新技术学院(AIIDE)中国区高级讲师
    2017年度广东省十大健康风尚人物

  • 鲍洪源 副主任医师

    穗华口腔海珠中大院区院长
    原中国航空364医院口腔科主任
    德国口腔颌面外科协会(MKG)种植硕士
    韩国Demtium种植牙系统千例种植认证医师
    北京大学种植中心访问专家
    湖北省种植专委会委员
    湖北省口腔全科专委委员
    中华口腔医学会种植专委会委员

  • 熊小明 副主任医师

    穗华口腔越秀院区院长
    中华口腔医学会会员
    全国口腔名家联盟成员
    广东省口腔种植学专业委员会委员
    德国(DGI)口腔种植协会会员
    美国口腔正畸学会(AAO)会员
    美国哥伦比亚大学口腔种植访问学者

  • 贺文鹏 副主任医师

    穗华口腔医院正颌中心主任
    穗华口腔医院资深种植专家
    暨南大学附属第一医院口腔外科主任
    暨南大学口腔医学院口外教研室副主任
    多家种植体品牌公司培训讲师
    德国口腔颌面外科协会-种植精英计划-种植硕士
    国家执业医师资深考官
    广州实力中青年医生
    暨南大学附属第一医院手术突出贡献奖获得者
    中华口腔医学会创伤与正颌专委会青年委员
    广东省医学会颌面头颈外科学分会青委副主任委员
    广东省医院协会口腔管理分会委员
    广东省临床医学学会牙种植专委会委员
    广东省口腔医学会口腔颌面外科专业委员会青年委员
    广东省整形美容协会口腔整形美容分会委员
    广东省粤港澳合作促进会医药卫生大健康委员会口腔健康联盟委员
    广东省医学教育协会口腔种植专业委员会委员
    广东省口腔医师协会理事

  • 孔卫东 主任医师

    穗华口腔医院副院长
    穗华口腔医院集团正畸医疗总监
    eBrace个性化舌侧矫治器主要发明人
    中华口腔医学会口腔正畸专业委员会5、6、7届委员
    《中华口腔正畸学杂志》编委
    广东省口腔医学会口腔正畸专业委员会常委
    《暨南大学学报(医学版)》特邀编委
    美国口腔正畸学会(AAO)会员
    世界正畸联盟(WFO)会员
    广东省3D打印技术联盟理事会理事
    广东省整形美容协会理事会理事
    省部级企业科技特派员
    入选2020年度《岭南名医录》
    被评为2021年度“羊城好医生”

  • 肖世芳 主任医师

    穗华口腔荔湾院区医疗院长
    中国共产党广州穗华口腔门诊部有限公司支部委员会书记
    穗华口腔健康正畸讲师
    中华口腔医学会正畸专业委员会会员
    四川省口腔医学会正畸专业委员会委员
    暨南大学口腔医学院研究生实践指导教师
    美国隐适美隐形矫治全球认证医师
    美国SPARK精靓隐形矫治全球认证医师
    美国Insignia精准矫治全球认证医师
    时代天使隐形矫治认证医师
    医疗健康管理硕士

  • 谢晓聪 主治医师

    穗华口腔荔湾院区资深正畸医师
    穗华口腔荔湾院区修复医师
    时代天使隐形矫正认证医师
    毕业于广州医科大学

  • 田慧娟 主治医师

    穗华口腔白云梅花园院区正畸科资深医师
    中华口腔医学会正畸专业委员会专科会员
    时代天使儿童颜面管理认证医师

  • 张涛 副主任医师

    穗华口腔番禺万博院区院长
    中华口腔医学会口腔正畸专业委员会专科委员
    中华口腔医学会口腔颌面创伤及正颌专业委员
    美国隐适美隐形矫治全球认证黑钻医师
    美国Spark精靓隐形矫治全球认证医师
    eBrace专利矫正认证医师

  • 文夫 主治医师

    穗华口腔医院正畸科隐形矫治技术主任
    穗华口腔天河院区资深正畸医师
    中华口腔医学会会员
    中华口腔医学会正畸专业委员会专科会员
    广东省口腔医学会会员
    美国隐适美全球认证专家
    美国隐适美隐形矫治讲师
    时代天使高端隐形矫治指定授权医师
    时代天使高端隐形矫治培训专家
    第18届雅加达亚运会中国代表团口腔保障营专家
    丽绮美数字化颜面管理认证医师

  • 黄海霞 主治医师

    穗华口腔海珠中大院区医疗副院长
    中华口腔医学会正畸专业委员会专科会员(COS)
    中华口腔医学会儿童口腔医学专业委员会专科会员
    中华口腔医学会口腔美学专业委员会专科会员
    卡瓦Ormco数字化产品中国区认证讲师
    美国隐适美隐形矫治认证医师
    时代天使隐形矫治认证医师、认证讲师
    时代天使儿童颜面管理认证医师
    eBrace个性化舌侧矫治认证医师
    美国spark精靓隐形矫治全球认证医师
    丽绮美数字化颜面管理认证医师

  • 张建 主治医师

    穗华口腔医院正畸科主治医师
    中华口腔医学会正畸专业委员会专科会员
    eBrace个性化舌侧矫治认证医师
    美国Spark隐形矫正认证医师
    美国隐适美隐形矫治认证医师
    美国Insignia个性化唇侧矫正认证医师
    时代天使隐形矫治认证医师
    丽绮美数字化颜面管理认证医师

  • 刘华 副主任医师

    穗华口腔医院白云梅花园院区医疗副院长
    湖北中医药大学副教授
    国家医疗卫生专家库专家

  • 谢晓聪 主治医师

    穗华口腔荔湾院区资深正畸医师
    穗华口腔荔湾院区修复医师
    时代天使隐形矫正认证医师
    毕业于广州医科大学

  • 陈波 主治医师

    穗华口腔医院综合科资深医师
    中华口腔医学会会员

  • 陈天宇 主治医师

    穗华口腔黄埔院区医疗副院长
    穗华口腔黄埔院区资深修复医师
    中山大学光华口腔医学院口腔修复学硕士
    中华口腔医学会口腔修复学学会会员

  • 甄亚辉 主诊医师

    穗华口腔医院综合科医师
    中华口腔医学会会员

  • 唐果 主治医师

    穗华口腔医院综合科医师
    中华口腔医学会会员

  • 刘华 副主任医师

    穗华口腔医院白云梅花园院区医疗副院长
    湖北中医药大学副教授
    国家医疗卫生专家库专家

  • 何豫 主治医师

    穗华口腔黄埔院区综合科专家
    毕业于中山大学光华口腔医学院
    资深口腔全科医师、儿童口腔专科医师

  • 赵丽雪 主治医师

    穗华口腔医院综合科医师
    中华口腔医学会会员

  • 许玉琴 主治医师

    穗华口腔海珠中大院区全科医师
    中华口腔医学会会员
    毕业于南华大学

版权:广州穗华口腔医院
备案号:粤ICP备15046903号
医疗广告审查证明文号:粤(A)广(2025)第1188号