牙齿前突:一般表现就是牙齿突出于正常的范围之外,在闭合时会有一定的影响,容易露出牙齿。牙齿前突对于朋友们的生活影响很大,影响人们咀嚼功能,也会影响人们的形象。穗华口腔专家认为长期突出的前牙会使得牙龈失去嘴唇的保湿和唾液的杀菌作用,暴露在干燥的空气里,牙龈也可能红肿发炎,很容易换上牙龈息肉,久而久之,牙床就会受到损害。
不同缘由的牙齿前突治疗方法也不相同。假如是牙性前突而上下颌骨比例基本一般,则经过牙齿矫正即可解决。

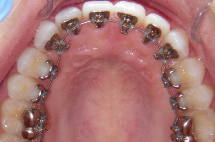
舌侧矫正
穗华口腔eBrace舌侧隐形矫正技术
eBrace舌侧隐形矫正技术是由我院正畸名家孔卫东博士领衔的医疗团队发明的牙齿矫正技术。区别于传统的唇侧矫治技术,eBrace(易美)?将矫正器全部藏在牙齿的背面,能让您在旁人毫无察觉中完成牙齿矫正。
1、技术先进。采用计算机辅助设计制造CAD/CAM和数字投影快速成型DLP等先进技术。
2、完全隐形。托槽在牙齿背面,既保护了隐私,因无遮挡,也便于医生观察牙齿移动情况。
3、避免口腔损伤。避免唇侧牙釉质受酸蚀剂作用脱钙;避免运动中矫正器对唇部的损伤。
4、量齿定做。根据牙齿终理想状态而设计的各阶段的个性化弓丝和托槽。
★★穗华口腔温馨提醒★★:【防止矫正反弹关键前提:选择正规的矫正医院】穗华口腔医院是拥有百年人文底蕴的暨南大学附属口腔医院临床教学医院,是广东省卫生厅批准成立的口腔专科医院,是集口腔诊疗、教学和科研为一体的现代化口腔综合医院,承诺永远以顾客的牙齿健康为必要因素,确保给顾客高性价比的口腔治疗,如果您还有什么问题或需要帮助,可在线咨询或拨打热线:020-62266666,将您的问题告诉在线医生,专家不仅能耐心为您分析解答,还能提供预约挂号的服务,让你就诊更方便快捷,“百度100遍,不如咨询一次”。