牙齿缺失影响人的正常生活,吃东西憋屈不说,还破坏口腔健康,进而影响全身健康。牙齿缺失不能一拖再拖,及时种牙才是根本的解决办法,那么种植牙怎样保证效果?下文请穗华口腔医院专家为大家介绍一下。

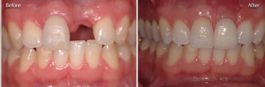
门牙缺失种植前后对比
穗华口腔专家介绍保证种植牙的效果,要注意几点事项:
1、选择正规的口腔机构
种植牙要求非常高,并不是所有的机构都能够做。正规权威的机构一般拥有高标准的技术硬件设备和安全卫生的环境,这是保证种植牙成功的基础。并且也可以避免非正规的环境给患者带来的安全隐患。
2、抓住好的种植时机
种植牙按照植入时机分为延期种植和即刻种植。延期种植是在拔牙3-6个月后,待拔牙创口愈合植入种植体。而即刻种植技术可以在拔牙后立即植入种植体,避免了牙槽骨生理性吸收,减少了往返医院次数,大大缩短了治疗时间,更快的恢复咀嚼功能。
3、选择合适的种植体
种植牙的材料与种植牙的效果有着直接的关系,材料的选择不仅影响种植牙寿命,而且影响种植牙的性能。种植体也不再是千篇一律,可根据每个患者不同的口腔状况及牙槽骨的条件选择适合患者的种植体。
4、了解具体的种植牙技术
种植牙技术上个世纪就有,但是经过多年的发展,已经有了很多进步。目前,穗华口腔医院拥有先进的
3D靶向种植术。
3D靶向种植牙技术,是暨南大学多位种植名家多年积累的义齿修复技术和经验,与一系列国际前沿齿科设备结合的产物,应用意大利NewTom曲面断层扫描CBCT技术、德国WIELAND CAD/CAM计算机辅助设计与制作技术、美国Ambulanc笑气镇静镇痛系统、丹麦3shape 3D打印技术及3shape TRIOS激光扫描重建技术等,从5个方面打造穗华种植牙“40年预期留存率”超过90%的“长寿基因”!
* CT3D颌面扫描,定位更精准 * 华南领先牙周科,治好牙周更长寿
* 笑气镇痛更舒适,轻松享受 * 重建咬合更和谐,坚固耐用
5、医师的资质
技术和设备等等这些都是一些客观因素,有可能做到并无差异,但是种植牙还需要医师来执行,好的医师是保证种好牙的关键因素。因此在选择做种植牙之前,要考察清楚该机构的医师是否具有丰富的经验和良好的技术。
穗华口腔是您爱牙的放心之选
穗华口腔医院是拥有百年人文底蕴的暨南大学附属口腔医院临床教学医院,是广东省卫生厅批准成立的口腔专科医院,是集口腔诊疗、教学和科研为一体的现代化口腔综合医院,组建了由多位博士生导师和国内外知名专家构成的专业口腔专家队伍,承诺永远以顾客的牙齿健康为必要因素,确保给顾客高性价比的口腔治疗。
温馨提醒:牙齿问题是不容忽视的问题,对于牙齿问题,我们应该尽早进行治疗,以免给我们的生活造成不必要的麻烦和困扰。如果您还有什么问题或需要帮助,可在线咨询或拨打热线:020-62266666,将您的问题告诉在线医生,专家不仅能耐心为您分析解答,还能提供预约挂号的服务,让你就诊更方便快捷,“百度100遍,不如咨询一次”。