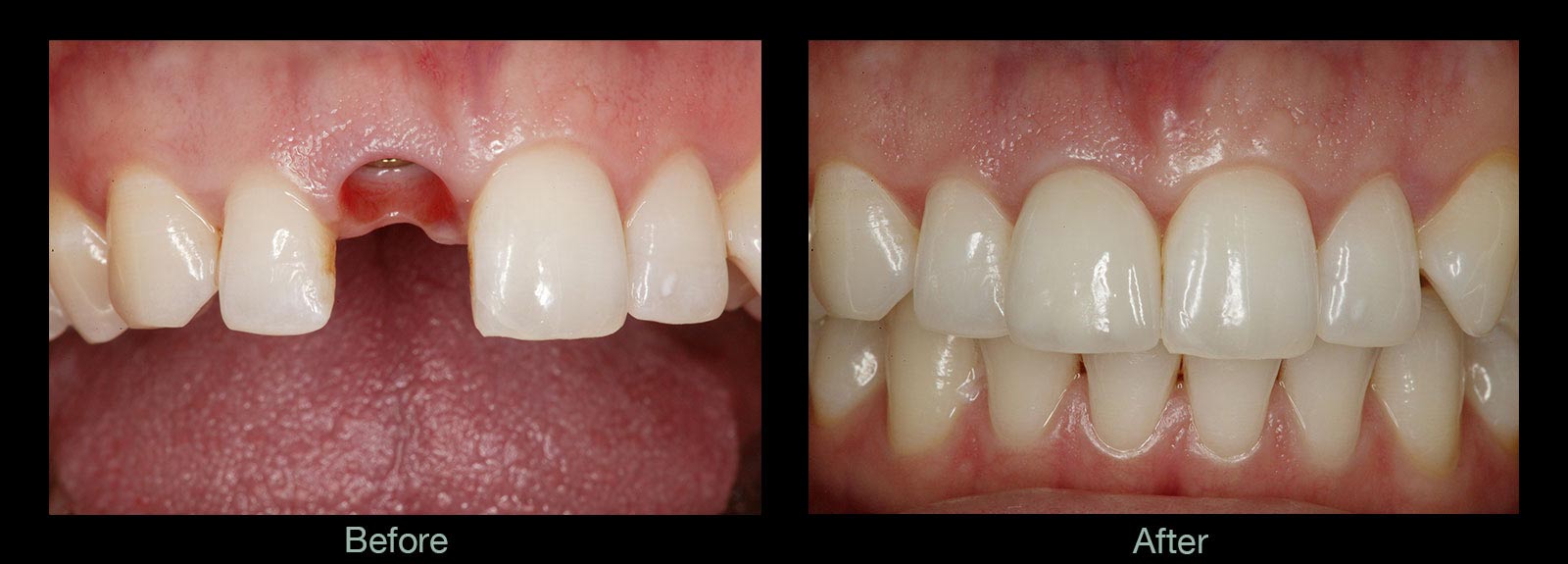
镶牙成为众多牙缺失患者的选择,很多人都认为镶牙之后就万事大吉了。穗华口腔医院专家提示镶牙后更要注意牙齿清洁问题,这样才能保持牙齿使用的持久性。那么镶牙后如何清洁牙齿?下文请
穗华口腔医院专家为大家介绍一下。
穗华口腔专家介绍先说下如何对待余留真牙。有活动假牙的先将假牙取下,然后采用牙刷、牙线、牙签等工具以及牙膏、牙粉等清洁剂进行清洁,其方法同普通人无异。仅仅余留少数几个真牙用的,应该更加重视余留真牙的健康维护。因为余留真牙对于假牙的稳定及其功能的发挥是至关重要的。有固定假牙的应特别注意基牙(支持假牙的真牙)的卫生,特别是假牙的边缘位置,要重点清洁。
其次是假牙的清洗。清洗假牙的方法有机械法和化学法两大类。机械法包括用牙刷、牙膏及牙粉洗刷,或者超声波洗涤等。化学法包括各种商品的洗涤液、消毒剂和酶制品等。
活动假牙患者可自行取下假牙进行清洁,每次进食后都拿下清洗,不要戴着假牙睡觉。晚上睡前应摘下假牙再刷牙,并将假牙刷洗干净,泡在冷水中,不能用热水浸泡,也不能用酒精擦洗,用热水浸泡可使假牙变形,用酒精擦洗可使假牙产生裂纹。注意取牙、上牙和刷牙时,不可用力太猛以免造成假牙卡环的折断、变形。而且洗刷假牙不能用坚硬毛刷,避免损伤表面结构。可以用消毒液对假牙消毒。例如:可用“啄木鸟消毒液发生器”原液按1:30稀释后把假牙放入侵泡或漱口,可消除积在牙缝、牙面的牙垢,减少菌斑附着,令牙齿洁白,有利于保持口腔卫生和保持假牙的美观,尤其是前牙色泽会更逼真。同时又能清洁消毒口腔,甚至对慢性咽喉炎、扁桃腺炎或其他感染性口腔炎症有一定的防治作用,一举三得。
固定假牙的卫生维护相对简单一些,主要用牙刷、牙线和牙签等清洁工具祛除假牙表面、边缘等处的不洁物,减少菌斑附着。高分子材料或者瓷制成的假牙,不能咬嚼过硬的东西或粘食,以免损坏或脱落。
另外,假牙戴合适后,一般人会认为没什麽问题,可以长期戴下去了,这种想法是错误的,因为时间长了,不仅口腔组织会发生一些变化,就是假牙也会出现问题,而这些问题,由于患者对假牙已经适应, 可是一旦感到不适时,问题可能就比较严重,以致影响到口内真牙的健康或重新镶牙的效果。所以戴假牙后应定期去医院复查。一般说来,半年至一年就应检查一次,以保证假牙的使用效果和口腔组织健康。
全口托牙初戴时,会有一段时间不适:大约需一至两个月的适应过程,在咀嚼食物时应由软到硬、在慢到快、由少到多地逐步适应,不能操之过急,以免黏膜损伤,欲速而不达。
牙齿是人体的-个重要的器官,一口整齐洁白的牙齿是美丽的外表、端庄的仪容不可缺少的一部分,牙齿只要发挥了它的作用,美观、实用,又何必在乎是真牙还是假牙呢?当然,从功能和感情上说,还是真牙好!
穗华口腔是您爱牙的放心之选
穗华口腔医院是拥有百年人文底蕴的暨南大学附属口腔医院临床教学医院,是广东省卫生厅批准成立的口腔专科医院,是集口腔诊疗、教学和科研为一体的现代化口腔综合医院,组建了由多位博士生导师和国内外知名专家构成的专业口腔专家队伍,承诺永远以顾客的牙齿健康为必要因素,确保给顾客高性价比的口腔治疗。
温馨提醒:牙齿问题是不容忽视的问题,对于牙齿问题,我们应该尽早进行治疗,以免给我们的生活造成不必要的麻烦和困扰。如果您还有什么问题或需要帮助,可在线咨询或拨打热线:020-62266666,将您的问题告诉在线医生,专家不仅能耐心为您分析解答,还能提供预约挂号的服务,让你就诊更方便快捷,“百度100遍,不如咨询一次”。