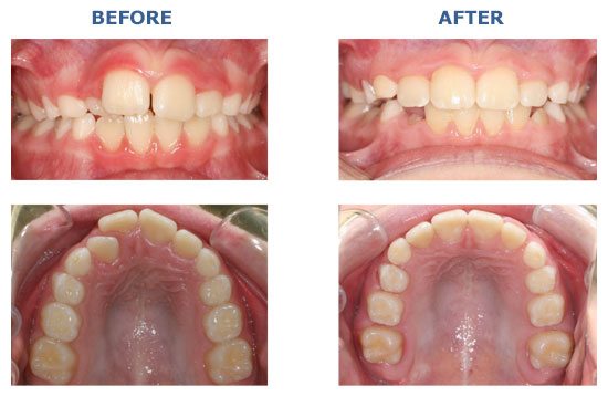
地包天分为前牙反牙合、部分合并后牙近中错牙合几种表现方式。地包天会影响我们的咀嚼功能,还会严重影响我们的容貌,给我们的日常交流等造成极大的隐患,渐渐地人就会变得内向,并出现一些心理疾病。我们应该正确的认识自己,及时到正规的医院进行治疗,给自己塑造一个健康的身心环境,以迎接美好的未来。那么地包天的种类有哪些?下文请穗华口腔医院专家为大家介绍一下。
穗华口腔专家介绍地包天的种类有:
1.骨源型:多由遗传和疾病等因素所致。除前牙反合外,反覆盖大,磨牙为近中合,并有颌骨畸形,表现为下颌体长,下颌支短和下颌角钝,上颌发育不足,额部明显前突,下颌不能自行后退,面部呈凹面型,有时还伴有开合畸形。
2.牙源型:多由局部的障碍引起,表现为单纯性的前牙反合,反覆盖较小,磨牙关系为中性或者开始近中合,下颌的大小形态正常,上下颌骨的关系正常,下颌能后退至切对切关系,颜面基本正常。
3.功能型:多由不良哺乳姿势等而引起的下颌功能性过度前伸和前牙反合,下颌大小和形态正常,下颌能后退至前牙切对切关系,又称假性下颌前突。
一、无损伤:不磨牙,无需麻醉,美牙过程无任何痛楚,不会刺激牙龈,能尽大限度保护牙体组织,对人体也无任何损伤。
二、高效快速:只需短短60分钟就可以轻松拥有一口靓牙。
三、改善脸型:美牙冠实现了牙齿美容与改善脸型的完美结合
四、持久无污:材料具有良好的透明性、遮光性,美学效果绝佳,不会出现烤瓷牙常见的"黑线"问题;其高耐磨性、不着色的特点,保证了美白、亮泽的长久性。
五、协调美观:瓷贴面制作时,可供选择的颜色非常多;制作后还可采用外染色进行颜色细调;粘贴时,还能采用不同颜色的黏结剂和白色遮色剂辅助调整颜色,以达到整体协调的美容效果。
穗华口腔是您爱牙的放心之选
穗华口腔医院是拥有人文底蕴的暨南大学附属口腔医院临床教学医院,是广东省卫生厅批准成立的口腔专科医院,是集口腔诊疗、教学和科研为一体的现代化口腔综合医院,组建了由多位博士生导师和国内外知名专家构成的专业口腔专家队伍,承诺永远以顾客的牙齿健康为必要因素,确保给顾客高性价比的口腔治疗。
温馨提醒:选择何种牙齿矫正方式需根据患者牙齿具体情况及其自身需求,并由专业正畸医师评估后方能确定正畸方案。选择专业的口腔和专业的医师,更加可以让您的牙齿矫正事半功倍。如果您还有什么问题或需要帮助,可在线咨询或拨打热线:020-62266666,将您的问题告诉在线医生,专家不仅能耐心为您分析解答,还能提供预约挂号的服务,让你就诊更方便快捷,“百度100遍,不如咨询一次”。