种植牙是通过种植人工牙根到牙槽骨内,待其与牙槽骨结合稳定后在套上牙冠的修复过程。因其不具破坏性,种植牙被认为是牙齿缺失修复的理想方法,然而种植牙也不是人人都适合,那么种植牙有哪些适用范围?下文请穗华口腔医院专家为大家介绍一下。
穗华口腔专家介绍种植牙的适用范围主要有:
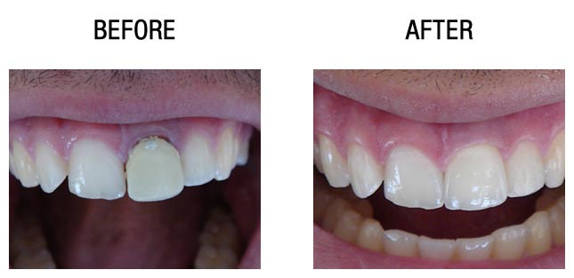
1、种植牙适用于个别牙缺失,缺牙区骨质良好,间隙正常,相邻牙排列基本正常的病人,可植入单个种植牙,并进行牙冠修复。
2、种植牙适用于多数牙缺失,缺失间隙长不宜做义齿固定义齿者,可在缺失牙间隙内植入1个或多个种植牙,起中间桥基牙作用,再行固定式义齿修复。
3、种植牙适用于部分的骨质健康,牙槽骨有一定的高度和宽度,且局部覆盖的软组织正常。自愿接受种植手术,并能按时就诊和保持口腔卫生的患者。
4、种植牙适用于病人全口缺失。骨质吸收较多,一般全口义齿修复固位差,容易脱落,咀咬东西无力,且严重影响身心健康者,可在上,下颌骨牙槽骨前部分别植入4-6个种植基牙再作固定式或活动式种植义齿。义齿的固位和咀咬功能明显提高。
5、种植牙适用于末端牙游离缺失,不宜做固定义齿修复者,可在游离端缺牙区植入种植牙,再行固定式义齿修复。
6、种植牙适用于颌骨缺损做常规义齿修复困难者,可在健侧颌骨内植入种植牙,改善义齿修复。
3D靶向种植牙技术,是暨南大学多位种植名家多年积累的义齿修复技术和经验,与一系列国际前沿齿科设备结合的产物,应用意大利NewTom曲面断层扫描CBCT技术、德国WIELAND CAD/CAM计算机辅助设计与制作技术、美国Ambulanc笑气镇静镇痛系统、丹麦3shape 3D打印技术及3shape TRIOS激光扫描重建技术等,从5个方面打造穗华种植牙“40年预期留存率”超过90%的“长寿基因”!
1、定位更精准:CT3D颌面扫描、CAD设计方案,实现了种植体精准定位。
2、种植更安全:利用激光扫描和3D打印技术制作种植导板(用于精确指导种植体位置和方向的模板),医生在导板辅助下轻松手术,杜绝失误。
3、笑气镇痛更舒适:Ambulanc是目前欧美牙医的镇静镇痛技术,能让牙科恐惧症、晕血症和儿童患者轻松愉悦地“享受”牙科治疗。
4、治好牙周更长寿:种植牙患者大多有牙周病,而不治牙周病,种植牙迟早脱落。穗华口腔拥有华南领先的牙周科,跨科会诊确保高质量种植牙。
5、重建咬合更和谐:种植牙与邻牙不紧密易塞牙,与对牙不协调咀嚼无力。穗华口腔异常重视种植牙的咬合关系,力求让每一颗种植牙都与患者口腔和谐相处。
穗华口腔是您爱牙的放心之选
穗华口腔医院是拥有百年人文底蕴的暨南大学附属口腔医院临床教学医院,是广东省卫生厅批准成立的口腔专科医院,是集口腔诊疗、教学和科研为一体的现代化口腔综合医院,组建了由多位博士生导师和国内外知名专家构成的专业口腔专家队伍,承诺永远以顾客的牙齿健康为必要因素,确保给顾客高性价比的口腔治疗。
温馨提醒:牙齿问题是不容忽视的问题,对于牙齿问题,我们应该尽早进行治疗,以免给我们的生活造成不必要的麻烦和困扰。如果您还有什么问题或需要帮助,可在线咨询或拨打热线:020-62266666,将您的问题告诉在线医生,专家不仅能耐心为您分析解答,还能提供预约挂号的服务,让你就诊更方便快捷,“百度100遍,不如咨询一次”。