种植牙以其不可替代的优越性,可以取代真牙行使口腔咀嚼功能,受到广大缺牙患者的青睐,那么广州天河种牙齿好不好?下文请穗华口腔医院专家为大家介绍一下种牙齿的好处。
种植牙的好处
1、治疗安全不伤好牙和相邻组织
随着材料学和生物工程学的发展,种植牙系统给人们带来了全新的感受。种植牙完成后,它会依靠自身牙根独立存在,不会影响两侧的健康 <http://health.pclady.com.cn/>牙。
2、真假难辨美观舒适
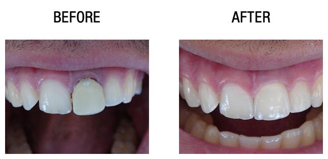
种植牙可以针对患者朋友不同情况作个性化的设计,其舒适美观、不用做传统的牙托,无异物感及不影响正常发音的一系列优越性
3、稳固牢靠功能持久
人工牙根深植于颌骨内,与颌骨内的骨细胞相结合,使其牢固地固定在颌骨内,能像正常牙齿一样承受咀嚼力量,并具有极好的固位力,在功能和美观上几乎和自然牙一样。做了种植牙后,您可以尽情地吃、畅快地说、自信地笑。
穗华口腔是您爱牙的放心之选
穗华口腔医院是拥有百年人文底蕴的
穗华口腔医院床教学医院,是广东省卫生厅批准成立的口腔专科医院,是集口腔诊疗、教学和科研为一体的现代化口腔综合医院,组建了由多位博士生导师和国内外知名专家构成的专业口腔专家队伍,承诺永远以顾客的牙齿健康为必要因素,确保给顾客高性价比的口腔治疗。
温馨提醒:在做种植牙之前做好充分的准备和认识,更有利于种植牙手术的顺利进行。建议有种植牙需求的顾客朋友,去正规的专业口腔医院进行咨询了解。如果您还有什么问题或需要帮助,可在线咨询或拨打热线:020-62266666,将您的问题告诉在线医生,专家不仅能耐心为您分析解答,还能提供预约挂号的服务,让你就诊更方便快捷,“百度100遍,不如咨询一次”。