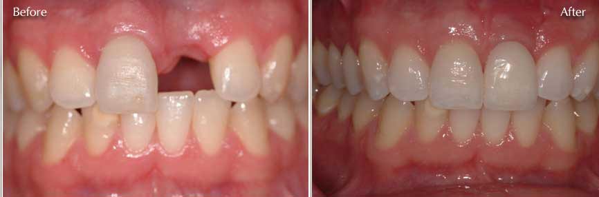
种植牙有着几乎和自然牙相等的咀嚼力,能恢复美观和功能,可以让人们尽情享受美味和生活。因此,被称为牙缺失的非常好的修复方案。那么,种植牙的过程是怎样的呢?下文请穗华口腔医院专家为大家介绍一下。
穗华口腔专家介绍种植牙齿过程是:
1、先要做一个口腔全景片、颌骨CT等。查看口腔的具体情况,是否有炎症、牙槽骨吸收等情况。然后,医生会询问患者全身的病史,可能需要查血常规、出凝血时间、血压、血糖、乙肝5项、脉搏等。确定能手术后,才会诊断去模、指定种植牙方案。(第一次大约1个多小时)
2、正式开始种植牙手术。在牙槽骨上制备一个孔,植入人工种植体。将牙骨床内严密缝合,大约一个星期后可以拆线。这次大概2个半月--3个月)
3、等待骨结合期。(这个时间的长短因人、因种植系统而异。有的人、有的种植牙系统系统要2--3个月;有的需要超过半年时间)
4、安装愈合基台。使种植体穿出牙龈,等待软组织成形。
5、在差不多2--3周后,软组织成形后,种植牙医生会用永久基台换下愈合基台。6、佩戴种植牙。
7、全部完成后,每年定期到医院检查2次。
穗华口腔是您爱牙的放心之选
穗华口腔医院是拥有百年人文底蕴的
穗华口腔医院临床教学医院,是广东省卫生厅批准成立的口腔专科医院,是集口腔诊疗、教学和科研为一体的现代化口腔综合医院,组建了由多位博士生导师和国内外知名专家构成的专业口腔专家队伍,承诺永远以顾客的牙齿健康为必要因素,确保给顾客高性价比的口腔治疗。
温馨提醒:望闻问切是问医第一步,请向在线医生详细阐述您的问题,我们口腔医院专家在了解了您的状况后,将依据您的实际情况制定适合您的治疗方案。如果您还有什么问题或需要帮助,可在线咨询或拨打热线:020-62266666,将您的问题告诉在线医生,专家不仅能耐心为您分析解答,还能提供预约挂号的服务,让你就诊更方便快捷,“百度100遍,不如咨询一次”。