中秋节后,全国爱牙日来临之前,穗华口腔再度推出全民爱牙优惠政策,举办2016口腔文化节第010期隐适美高端会员沙龙活动。
穗华口腔2016口腔文化节主要是针对需要进行正畸的客户朋友展开的隐适美专场活动,届时将由穗华口腔首席正畸修复专家、隐适美口腔正畸专家张涛作为此次活动的主讲,为大家讲解关于正畸的知识。
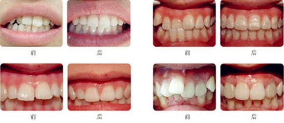
穗华口腔医院牙齿引进了国外的牙齿矫正材料,采用先进的纳米技术,进行精确的设计,全方位移动畸形牙齿,将畸形牙悄然无声中归位。此外,医院贴心、周到的服务,广受口腔患者的称赞。
活动时间:2016年9月17日(周六)下午14:00
活动地址:广州穗华口腔医院4楼(天河区黄埔大道西413号)
活动预约入口:名额有限 预约从速
主讲专家:张涛
活动当天,现场听众可享受以下优惠:
1.活动当天参加的顾客可免专家挂号费、免口腔检查费、免全景片拍摄费;
2.加入【全家口腔健康管理计划】会员特享折上折爱牙优惠;
3.活动当天参加的顾客可申请“微笑广州”爱牙公益援助基金牙齿矫正高援助8000元;
4.活动当天与会顾客可5人拼团,拼团成功并提交预约金者可获500元减免/人。
穗华口腔医院正畸修复案例:
穗华口腔正畸科每年诊治省内外大量转诊正畸疑难病例,是华南地区处理疑难病例及失败后再处理病例的重点专科。