现代社会,越来越多的爱美者对于牙齿不齐感到非常烦恼,因此都选择牙齿矫正来恢复牙齿的自然形态。它不仅能帮助我们塑造出美丽健康的牙齿,而且还能够完美地展现出我们的气质,深受爱美者的喜爱。那么牙齿不齐矫正效果好不好?下文为大家介绍牙齿不齐矫正的效果。

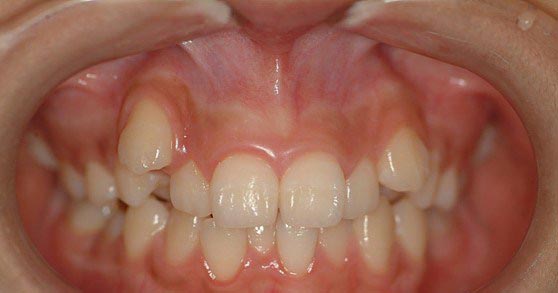
牙齿不齐
牙齿不齐矫正效果好不好?牙齿不齐矫正采用微创精准打开牙槽骨的方式,无需切断黏膜和血管,牙槽骨属于松质骨,血液供应好、愈合快、愈后无接痕的特点,避免产生骨头坏死。
牙齿不齐矫正效果好不好?牙齿不齐矫正可以一次性完全矫正好牙齿不齐的问题,长期保持效果不复发。
牙齿不齐矫正效果好不好?牙齿不齐矫正精细术前设计和手术过程时间短,不会出现供血不足的问题,安全性更高,术后牙槽骨生长恢复快,可至固定状态。
穗华口腔 华南口腔正畸界的技术领导者
暨南大学附属口腔医院穗华口腔正畸科,是我院重点临床专科,由我国着名口腔医学专家吕培琨教授于1981年创建,是华南地区数字化技术口腔正畸诊断与治疗的领导者,水平一直处于国内领先地位。
科室先后引进了美国、德国、日本、丹麦等先进设备,医师运用计算机测量、辅助分析及先进的矫治技术,评估不同患者的牙齿与面颌部情况,量身设计个性化的口腔正畸治疗方案,科学的治疗方案,更使正畸时间缩短至传统正畸技术时间的1/3。其中,个性化舌侧矫治技术、成人高难度病例矫治已成为中心的特色及强项,每年诊治省内外大量转诊正畸疑难病例,是华南地区处理疑难病例及失败后再处理病例的重点专科。
由于篇幅有限,本文就为大家介绍这么多,关于牙齿不齐矫正效果好不好?如果您还有疑问或想了解更多,可点击在线咨询,届时与我院专家一对一沟通交流。