对于烤瓷牙失败修复,对技术要求非常高,广州穗华口腔专家建议患者需要谨慎选择正规、专业医院,才能保证治疗的安全性以及效果。那么烤瓷牙失败修复哪间医院好?请看下文介绍。

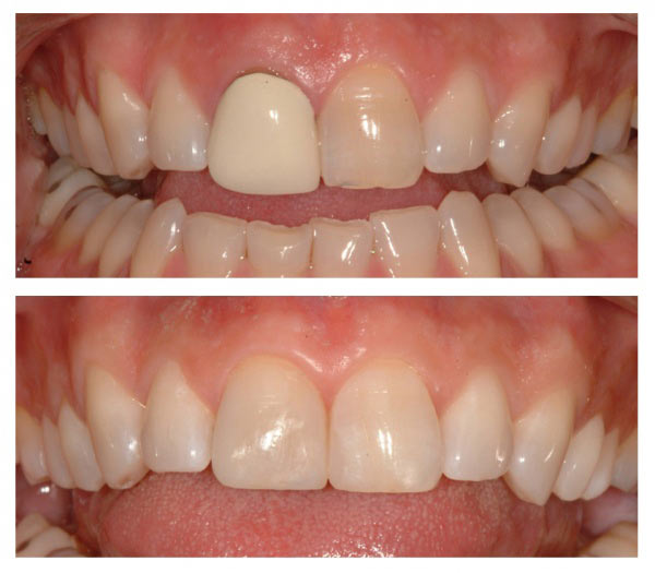
烤瓷牙修复前后对比
烤瓷牙失败利用牙齿美容修复治疗,对技术要求非常严谨,它是通过电脑3D定位后,牙齿成形后美观大方,色泽自然,不拔牙安全无痛,比正常牙齿更坚固,高效快速。
广州穗华口腔医院运用德国VITA比色技术,常年保持美丽天然的光泽,使成形后的牙齿达到完美的色阶统一。治疗采用无痛技术,美容后的牙齿恢复了口腔正常的发音且不需动及牙齿根部,保证良好的人体亲和性和口感舒适性。牙齿美容修复咀嚼时的力量作用在牙冠上,采用金属与陶瓷粉相结合,足以承受咀嚼力,使牙冠比自然牙更坚固,科技的粘贴技术,终生不脱落。你仅需来院两次,只需7天时间就可轻松拥有一口靓牙。因此,可以说牙齿美容修复是目前改善烤瓷牙失败牙齿问题的选择。
上面就是关于烤瓷牙失败修复哪间医院好?的详细介绍,相信你对此有一定的认识。如果您还有什么问题,可以点击在线咨询,还可以拔打全国免费热线:020-62266666。百度100遍,不如咨询1次。