地包天的种类有哪些?

地包天分为前牙反牙合、部分合并后牙近中错牙合几种表现方式。地包天会影响...【详细】
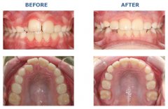
牙齿矫正反合需要注意什么事项?

牙齿反合,从正面可以看到明显的下颌突出情况,部分情况为两侧不对称,且伴...【详细】
牙齿矫正为何要拔牙?

从黄种人的情况来看大概50%的矫正病人是需要拔牙的,而且一般是拔掉四颗牙,...【详细】
冷光美白让氟斑牙不再是问题

氟斑牙是指牙齿发育的阶段,由于长期饮用高氟水源导致对牙釉质的不可逆损害...【详细】
冷光美白让牙黄不再是问题

唇红齿白是美丽一个重要标准,然而生活总有种种原因让人们的牙齿染色,发黄...【详细】
如何使冷光美白效果更长久?

牙齿 冷光美白技术 是现在一种比较先进、成熟的牙齿美白技术,对牙齿和身体...【详细】
牙齿冷光美白有没有副作用?

拥有灿烂的笑容也是一个非常重要的资本,因此牙齿一定要洁白漂亮!然而现实...【详细】
牙齿冷光美白价格贵吗?

迷人笑容少不了洁白的牙齿作为点缀,针对牙齿美白,方法还是有很多的,冷光...【详细】
冷光美白的好处有哪些呢?

为了能够让自己拥有一口洁白牙齿,人们做冷光美白是不错的选择,这种方法的...【详细】
冷光美白效果如何?

拥有一口健康美白的牙齿,是人们所希望的。然而生活中的很多人由于经常的吸...【详细】
版权:广州穗华口腔医院
备案号:粤ICP备15046903号
医疗广告审查证明文号:粤(A)广(2025)第1188号