喝咖啡已经成为现代都市的一种品质生活,在繁忙的工作、交际之余听一首轻音...
【详细】
11月16日,暨南大学迎来了109岁生日。15日上午,来自海内外的数百名85届校友携...
【详细】
11月15日,由暨南大学校友总会主办,广州校友会承办的暨大首届全球校友会会...
【详细】
暨南大学穗华口腔专家指出,对于贵金属烤瓷牙费用来说,因为其材料是采用金...
【详细】
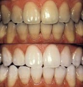
有一口健康美白的牙齿让人非常羡慕,笑容更加灿烂迷人。那么有的人牙齿出现...
【详细】
暨南大学穗华口腔专家介绍,色素牙是人们常见的一种牙病,其实色素牙的产生...
【详细】
暨南大学穗华口腔专家表示说,我们希望得到周围的人喜欢、尊重和有修养一样...
【详细】
暨南大学穗华口腔专家指出说,色素牙是因饮食、烟茶咖啡等附着于牙齿表面,...
【详细】
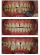
暨南大学穗华口腔专家指出,解决烟渍牙的好方式就是做Beyond冷光美白技术。牙...
【详细】
对于爱美人士来说,黄牙对外形的影响是十分重大的,谁不想拥有一口晶莹透亮...
【详细】