儿童时期如果萌出虎牙也不见得就是一件坏事,会给孩子增添几分姿色看起来十...
【详细】
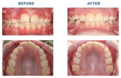
青春,本该拈花一朵的微笑,本该无所顾忌的疏狂。但哪知牙齿不齐的尴尬,让...
【详细】
牙齿关系的外部形象和身心健康,现在无论是大人和孩子,都必须关注它。那么...
【详细】
龅牙是临床上常见的牙齿畸形,大多数的患者表现为牙齿前突,形成一个弯弓弧...
【详细】
牙齿在矫正完成后,需要佩戴矫正保持器一段时间,以维护牙齿矫正的效果,很...
【详细】
有些人由于口腔疾病问题或者意外,造成牙齿脱落,牙齿变得稀疏,那么牙齿稀...
【详细】
不少人在牙齿的生长发育过程中,因为遗传或者不当的生活习惯导致门牙缝隙大...
【详细】
难看的牙齿,总是让我们不敢放声大笑,明星般的皓齿总是让我们羡慕不已。可...
【详细】
牙齿前突:一般表现就是牙齿突出于正常的范围之外,在闭合时会有一定的影响...
【详细】
很多人在咨询时都有这样的担忧,随着人们生活水平和审美意识的提高,现在选...
【详细】