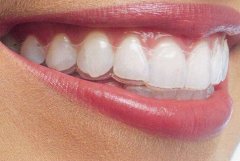
洁白、整齐的牙齿是人人都想拥有的事情,但是往往愿不如意,不少人的牙齿不...
【详细】
11月12日,我国着名的国际战略学和国家安全学专家、博士生导师、军事科学院...
【详细】
11月15日上午,由暨南大学校友会主办的109周年校庆系列活动之根系暨南植树活...
【详细】
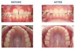
有位患者咨询:小时候长了多生牙把牙齿都挤歪了,非常的难看,影响了正常的...
【详细】
大多数原因,牙齿反颌是由于不良哺乳姿势,乳前牙滞留或早失,上恒切牙先天...
【详细】
牙齿错颌是生活中常见的牙齿畸形问题,许多人就是因为牙齿错颌问题,而十分...
【详细】
一些人从小牙齿就长的比较稀疏,有牙缝,不仅影响美观,而且吃东西的时候是...
【详细】
梅子牙齿本来就畸形,但是因为上学的时间比较紧迫,一直没有进行牙齿矫正,...
【详细】
小刚因为今年要大学毕业了,面临着找工作和谈恋爱,但是他的牙齿畸形,这给...
【详细】
随着现代生活水平越来越高,食物的精细化,使得孩子的口腔得不到锻炼,孩子...
【详细】