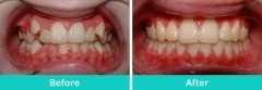
青少年出现牙齿外突问题,给他们学习等方面带来了许多困扰,造成心理阴影。...
【详细】
生活中牙齿外露的情况很多,牙齿外露会引起上唇隆起的情况发生,从而导致人...
【详细】
生活中,牙齿前突的患者越来越多了,牙齿前突不仅会影响到美观,还会造成面...
【详细】
生活中经常看到小孩子上面牙齿长得向前突出的情况,而家长们并不是特别在意...
【详细】
喝早茶是很多老广州的习惯,但您是否有试过边喝早茶边听名医授课的经历呢?...
【详细】
11月11日,由国际口腔种植医师学会主办、暨南大学穗华口腔医院承办的2015年国...
【详细】
11月7日,由广东省物理学会主办、暨南大学承办的第十六届广东省大学生物理实...
【详细】
11月9日,广东省委常委、统战部部长林雄一行6人莅临暨南大学,看望暨大党外...
【详细】
成人骨骼发展已经定型,做牙齿矫正没有儿童那么容易,需要注意很多事项,那...
【详细】
牙齿矫正可以塑造出一口健康美观的牙齿形态,将不整齐的牙齿排列整齐,避免...
【详细】