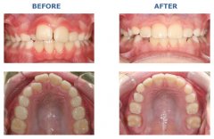
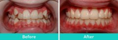
牙齿矫正有什么需要注意的?

为了保证矫正治疗过程进展良好,并达到预定的矫治目标,牙齿矫正有一些需要...【详细】
牙齿矫正有什么注意事项?

牙齿矫正是将不整齐的牙齿排列整齐,解决了一些人的困扰,矫治的目标是拥有...【详细】
牙齿矫正能喝饮料吗?

孩子在牙齿矫正时总是抵制不了美食的诱惑,喝了不少的饮料,那么孩子在牙齿...【详细】
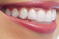
戴隐形矫正器要注意什么事项?

隐形矫正器是现代新进的牙齿矫正技术,其具有其他牙齿矫正方式不可媲美的优...【详细】
成人适应牙齿矫正吗?

成人牙齿已经发展定型,不像孩子矫正那么容易,那么成人适应牙齿矫正吗?暨...【详细】
矫正会把牙齿弄松吗?

有朋友提问:矫正会把牙齿弄松吗?穗华口腔专家介绍,牙齿矫正是不会把牙齿...【详细】
不同年龄段的人矫牙

很多人不知道自己的情况能不能矫牙,现在小编奉上不同年龄段的人矫牙攻略,...【详细】
牙齿矫正流程

很多人被牙齿畸形所困扰,矫牙能够塑造个人的外部形象,令魅力提升,那么一...【详细】
秀出您的矫牙梦

畸形牙除了影响颜面美观、口腔卫生健康外,对牙患来说更惨痛是心理上的创伤...【详细】
成人做矫正需要注意的问题

牙齿矫正主要包括活动矫正技术和固定矫正技术。穗华口腔专家介绍,目前使用...【详细】
版权:广州穗华口腔医院
备案号:粤ICP备15046903号
医疗广告审查证明文号:粤(A)广(2025)第1188号