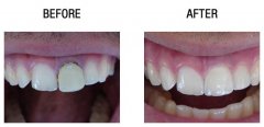
种植牙和镶牙哪个好?

牙齿缺失了,到底是种牙好还是镶牙好?顾客朋友们经常有这种疑问,为了解决...【详细】
3D导航模拟种植技术,解决牙齿缺失效果好

种植牙具有其他牙齿修复方式不可媲美的优点,可以代替真牙行使牙齿功能,受...【详细】
即刻种植修复技术,给牙齿缺失患者带来福音

种植牙有着无可媲美的优点,可以代替真牙行使口腔功能,受到广大牙齿缺失患...【详细】
3D靶向种植术,拯救牙齿缺失

种植牙具有其他牙齿修复方式不可媲美的优点,可以代替真牙行使牙齿功能,受...【详细】
种植牙需要多少钱?

种植牙在现今世界已经成为牙齿缺失修复的主要方式,给牙齿缺失患者带来了福...【详细】
ALL-ON-4种植修复技术,解决好牙齿缺失问题

种植牙在解决牙齿缺失问题上,有着显着的效果,解决了牙齿缺失患者缺牙的问...【详细】
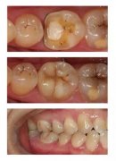
德国CAD/CAM即刻修复技术,完好解决牙齿缺损

修复技术牙齿缺损而不是缺失,不能种植牙,那么可以使用牙齿修复方法补回缺...【详细】
百年讲堂“联手”诗歌颁奖 呈献诗与远方

10月24日晚,百年暨南文化素质教育讲堂第239期暨第二届东荡子诗歌颁奖典礼在...【详细】
穗华口腔种植牙哪里好?

种植牙具有其他牙齿修复方式不可媲美的优势,已经可以取代真牙行使牙齿咀嚼...【详细】
种牙好还是镶牙好?

牙齿缺失了,到底是种牙好还是镶牙好?顾客朋友们经常有这种疑问,为了解决...【详细】
版权:广州穗华口腔医院
备案号:粤ICP备15046903号
医疗广告审查证明文号:粤(A)广(2025)第1188号