如何避免不良修复体的伤害?

暨南大学穗华口腔专家指出,不良修复体的危害很多,为避免受到不良修复体的...【详细】
快速矫正牙齿有什么方法?

随着医疗美容技术的发展与进步,牙齿矫正术也取得了巨大的发展与进步,那么...【详细】
美容修复为什么能风靡全球?

牙齿美容修复对于爱美人士来说是很熟悉的了,这是目前很受欢迎的牙齿美容方...【详细】
牙齿矫正真的只需7天吗?

很多人认为牙齿矫正一般要一两年才才能实现,但是近代随着医疗美容技术的发...【详细】
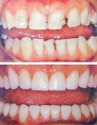
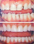
美容修复能否修复牙列不齐?

牙列不齐是目前比较常见的牙齿畸形之一,牙列不齐不但会给人们的生活造成很...【详细】
牙齿不齐危害有哪些?

牙齿不齐对人影响很大,而且长期的牙齿不齐容易形成龋齿、牙周病,而使牙早...【详细】
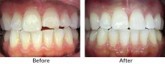
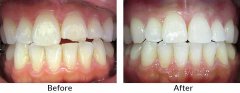
牙齿美容修复需要多长时间?

牙齿长得歪斜不齐是非常普遍的现象,非常有损形象的,应该及时的进行牙齿矫...【详细】
牙齿不齐能否做美容修复吗?

随着人们生活水平的提高,对于自身的美丽的要求也是越来越高,牙齿整齐美容...【详细】
种植牙专场讲座《口腔名家大讲堂》成功举办

2015 年 10 月 24 日上午 9 点 30 分,南方都市报联合暨南大学穗华口腔医院举办首...【详细】
预约重阳节种植牙讲座, 可免费获得种植牙1颗

传说中,种植牙可以陪人一辈子,为何自己的种植牙才用了两年就不行呢?种植...【详细】
版权:广州穗华口腔医院
备案号:粤ICP备15046903号
医疗广告审查证明文号:粤(A)广(2025)第1188号