广州牙齿矫正哪里好?

看着广告上明星迷人的笑容,是否被明星那口皓齿给晃到了呢?一口洁白整齐的...【详细】
牙齿矫正有几个步骤?

有朋友提问:牙齿矫正过程是怎样的,有几个步骤?穗华口腔专家表示,牙齿矫...【详细】
糖尿病人可以做种植牙吗?

种植牙给了牙齿缺失患者希望,让他们重建自信,重现灿烂笑容,因此种植牙受...【详细】
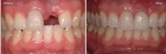
门牙缺失了可怎么好?

门牙缺失是容易被看到的地方,无论是说话还是微笑,让我们的形象大打折扣,...【详细】
种植牙有牙周炎怎么办?

种植牙是目前修复牙齿缺失的非常好的方式,是不需要借自然牙齿的力量就可有...【详细】
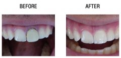
种植牙的寿命长吗?

种植牙具有其他牙齿修复不能媲美的优点,是目前弥补牙齿缺失的很好的牙齿修...【详细】
种植牙哪家医院好?

穗华口腔致力于口腔美容、口腔修复、口腔种植、口腔正畸和口腔保健等服务,...【详细】
集中力量打造学科高峰 加快推进高水平大学建设

9月16日上午,暨南大学领导胡军、刘洁生率党政办公室、发展规划处、财务与国...【详细】
跟黄牙说再见

牙齿发黄给人留下不洁的印象,因此在社交中很尴尬,用美白牙膏,效果也不理...【详细】
做皓齿美白,黄牙立刻亮起来

牙齿美白已经成为一种时尚,不仅体现美,也体现出一种生活品味,拥有美白明...【详细】
版权:广州穗华口腔医院
备案号:粤ICP备15046903号
医疗广告审查证明文号:粤(A)广(2025)第1188号