牙齿发黄很多人普遍存在的问题,即使是用了很多美白功能的牙膏也没什么效果...
【详细】
洗牙是牙科医院对于牙齿和口腔常用的保健清洁方法,它能够彻底去除平时刷牙...
【详细】
在无菌状态下,单纯粗糙的牙垢,对牙龈的机械刺激,并不引起牙龈明显的炎症...
【详细】
种植牙可以获得与天然牙功能、结构以及美观效果十分相似的修复效果,被称为...
【详细】
为纪念中国人民抗日战争暨世界反法西斯战争胜利70周年,暨南大学华文学院侨...
【详细】
很多牙齿患者对于牙齿美容修复有很多疑问,针对牙齿患者们提出的问题,穗华...
【详细】
在生活中,大家常常会发现有蛀牙这个牙齿问题,那么有蛀牙怎么办呢?穗华口...
【详细】
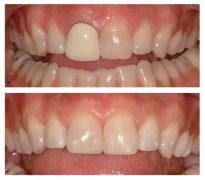
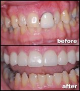
早些年前,许多牙齿患者只能通过传统烤瓷牙来修复各种牙齿问题。刚做了烤瓷...
【详细】
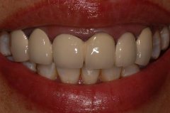
烤瓷牙失败症状主要包括:烤瓷牙脱落、咀嚼不良、色泽欠佳、形态不理想、牙...
【详细】
很多爱美人士都非常担心做过烤瓷牙出现牙龈发炎红肿、烤瓷牙于牙龈处出现黑...
【详细】