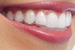
隐形牙齿矫正是怎么样的过程?

隐形牙齿矫正是当今非常流行的矫正技术,具有传统矫牙不能媲美的优点,那隐...【详细】
做牙齿隐形矫正要多久?

牙齿矫正是最常用的改变牙齿形态的方法,重塑牙齿健康美观的形态,牙齿矫正...【详细】
影响牙齿矫正费用的因素

牙齿矫正是最常用的改变牙齿形态的方式,可以重塑牙齿的健康美观外形,那么...【详细】
牙齿矫正对牙齿有什么影响?

很多人想通过牙齿矫正来改变牙齿的外形,但是又担心对牙齿不好,得不偿失,...【详细】
成人牙齿矫正的特点

越来越多的成年人希望通过改变畸形的牙齿来提升自己的形象,但是由于年龄、...【详细】
孩子矫牙期间怎么护理牙齿?

孩子牙齿畸形,尽早进行矫正可以避免孩子牙齿的发育不良,那么孩子矫牙期间...【详细】
孩子矫正牙齿的佳年龄

寒假期就要到了,寒假时间比较充裕,由于正式配戴矫治器前的一个月,患者要...【详细】
国际口腔种植医师学会(icoi)举办口腔种植医师

由于口腔种植牙能够与真牙媲美,提供给牙缺失患者良好的咀嚼功能,该技术近...【详细】
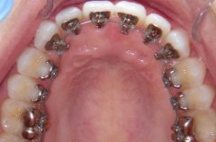
舌侧矫正--于无形中完美矫正

舌侧隐形矫正技术是国际上近些年来兴起的正畸技术,它是将矫治器全部藏在牙...【详细】
穗华口腔专家分析牙齿矫正佳时间

广州穗华口腔专家指出,一般说来女孩子10-12岁矫正最好,男孩子11-13岁矫正最...【详细】
版权:广州穗华口腔医院
备案号:粤ICP备15046903号
医疗广告审查证明文号:粤(A)广(2025)第1188号