缺牙不补牙齿会更快掉光 常说老掉牙、老掉牙,现如今牙齿脱落已经不再是...
【详细】
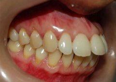
不少双颌前突患者想接受牙齿矫正来改变牙齿形态,但是听说双颌前突矫正会留...
【详细】
大多数双颌前突患者都接受矫正来治疗,前牙开颌是一种牙齿畸形,影响外貌美...
【详细】
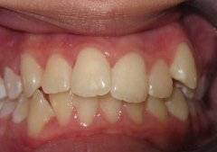
双颌前突是一种牙齿畸形,影响外貌美观,影响口腔功能,最终影响人的身体健...
【详细】
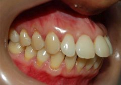
现代医学的进步已经使得双颌前突矫正能得到很好地治疗,但是为了维护治疗的...
【详细】
牙齿矫正是治疗前牙开颌的最理想方法,通过医学的方法,用矫正器使牙齿进行...
【详细】
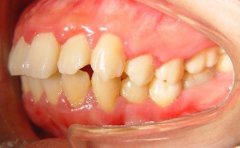
前牙开颌是一种复杂,易复发的牙齿畸形,前牙开颌的范围有小有大。生活中造...
【详细】
前牙开颌通过矫正治疗可以恢复口腔自然美观的形态,很多前牙开颌患者都担心...
【详细】
前牙开颌是一种口腔畸形,通过矫正治疗可以恢复口腔自然美观的形态,对于前...
【详细】
前牙开颌表现为前牙颌突出,牙齿不能咬合,影响面部美观,影响牙齿咀嚼功能...
【详细】