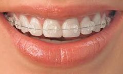
牙错位矫正效果怎么样?

牙错位令牙齿特别难看,想笑又不敢笑,担心露出难看的牙齿,因此让人觉得很...【详细】
牙错位矫正效果好不好?

牙错位又称牙颌畸形,是指儿童在生长发育过程中,由先天的遗传因素或后天的...【详细】
牙错位矫正注意事项

牙错位是牙齿畸形中的一种类型,不仅会影响美观,还会影响咀嚼功能,给身体...【详细】
牙齿不齐矫正医院那家好?

牙齿不齐给个人的生活带来了诸多不便,因此牙齿矫正显得很有必要。 牙齿不...【详细】
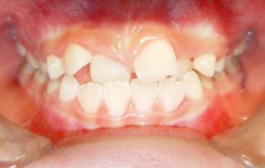
牙齿不齐应该怎么办?

拥有一口拥挤不齐的牙齿是让人苦恼的事情,不但不美观,还容易嵌塞食物,不...【详细】
牙齿不齐矫正会痛吗?

一口整齐美观的牙齿笑起来能让人产生美好的印象,使人忘却烦恼。牙齿矫正能...【详细】
牙齿不齐矫正术后如何护理?

牙齿不齐可以通过牙齿矫正恢复牙齿的自然美观的形态,但是牙齿矫正不是一步...【详细】
牙齿不齐矫正多少钱?

很少有人能长有一口整齐美观的牙齿,大多数人都存在不同程度的牙齿不齐现象...【详细】
8月8日口腔健康专家大讲堂在穗华医院开讲

年龄一大,各种口腔问题就接踵而来。您是否有过这样的体会?因为牙齿脱落,...【详细】
牙齿不齐矫正有副作用吗?

牙齿矫正作为恢复牙齿自然美观的形态的方法,已经被大多数人所接受,但也有...【详细】
版权:广州穗华口腔医院
备案号:粤ICP备15046903号
医疗广告审查证明文号:粤(A)广(2025)第1188号