种植牙齿多少钱一颗?

当牙齿出现了缺失情况,人们是需要补充的,这样可避免对牙齿以及口腔的危害...【详细】
种植牙齿费用

随着年纪的增加,很多牙齿会自然而然的脱落,在老年中,出现半口缺失的占有...【详细】
种植牙齿寿命

有朋友会有疑问:种植牙齿寿命是多长,对于这个问题,下文请暨南大学穗华口...【详细】
镶牙和种植牙的区别

想必许多有牙缺失苦恼的顾客都思考过这个问题。事实上,镶牙和种植牙都可以...【详细】
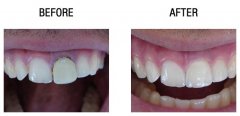
广州天河种植门牙

大多数门牙缺失都是由于意外造成的。门牙缺失不仅会损害个人形象,还会对口...【详细】
种牙齿多少钱一颗?

种牙真的那么贵吗?种植牙,长久以来都以性能优良、外观逼真、使用时间长的...【详细】
种一颗牙需要多少钱?

我们身边并不少见牙齿缺失的现象,牙齿缺失给生活带来了很多麻烦,除了影响...【详细】
种植一颗牙费用是多少?

当我们的牙齿缺失之后,会严重影响到一个人的美观的问题,单颗牙齿缺失,让...【详细】
广州种植牙多少钱?

随着口腔医学技术的不断发展和进步,种植牙也越来越被人广泛接受。在广州,...【详细】
假牙的种类和价格

假牙套成为越来越多的人们的经济之选,对于那些还不清楚假牙套种类和价格的...【详细】
版权:广州穗华口腔医院
备案号:粤ICP备15046903号
医疗广告审查证明文号:粤(A)广(2025)第1188号