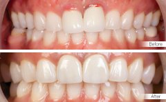
靓齿如贝是每个人都希望能够拥有的,但是由于各种各样的原因,很多人要面对...
【详细】
微笑是最漂亮的面部表情,无论是在工作上还是在人际交往上,笑容都是一块很...
【详细】
12月11日,强网杯广东省第一届网络安全大赛决赛在暨南大学曾宪梓科学馆举行...
【详细】
看着屏幕里的明星们个个拥有闪亮的笑容和洁白的牙齿,你是否也在羡慕?自古...
【详细】
烤瓷牙的流行是必然的,它外表逼真美观,兼顾耐磨,色泽接近天然牙,颜色可...
【详细】
烤瓷牙矫正技术可以让爱美女性变得更加美丽自信,绽放出完美迷人的笑容,这...
【详细】
贴面是将牙齿唇侧(朝向外面的那一侧)表面磨除一层后用口腔专用材料重塑牙齿...
【详细】
牙齿缺损在日常生活中时有发生,大多是由于外伤、口腔疾病等原因导致。牙齿...
【详细】
牙齿洁白是每一个爱美的人都想要的,谁也不想一张嘴就是一口黄牙、黑牙。目...
【详细】
一系列便捷的快餐方式完全应运了西方文化的发展,在繁忙的工作、交际之余听...
【详细】