黄牙患者想要去美白牙齿时,都会考虑到费用方面的信息,那么黄牙美白需要多...
【详细】
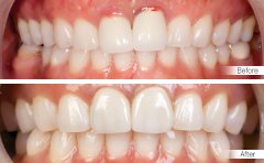
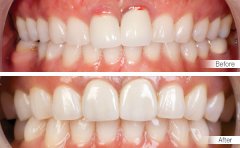
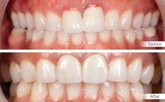
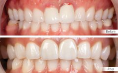
对于爱美人士来说,黄牙对外形的影响是十分重大的,谁不想拥有一口晶莹透亮...
【详细】
暨南大学穗华口腔专家指出,牙齿美白从本质上讲是一种清除牙齿珐琅质和牙釉...
【详细】
暨南大学穗华口腔专家指出,色素牙是因饮食、烟茶咖啡等附着于牙齿表面,黄...
【详细】
暨南大学穗华口腔专家表示说,我们希望得到周围的人喜欢、尊重和有修养一样...
【详细】
暨南大学穗华口腔专家介绍,色素牙是人们常见的一种牙病,其实色素牙的产生...
【详细】
人们常用唇红齿白形容长得健康漂亮,有一口洁白、整齐的牙齿,才能有灿烂的...
【详细】
穗华口腔专家指出,对于贵金属烤瓷牙费用来说,因为其材料是采用金、银等贵...
【详细】
12月11日下午,暨南大学与广州医药集团战略合作签约暨暨南大学白云山中一现...
【详细】
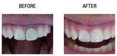
种植牙的出现,使得很多牙缺失患者齿落重生,重新享用美食和口腔健康。但是...
【详细】