2015年12月5日种植牙手术视频全程直播名额有限,赶快报名参与! 缺牙、掉牙是...
【详细】
11月21~22日,由暨南大学附属第一医院、生物医学转化研究院、广东省分子免疫...
【详细】
近日,赢在创新暨南大学本科生创新大赛(第六季第三期)在南校区举行。来自...
【详细】
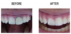
牙缺失对我们影响很大,因此一旦牙缺失需要及时镶牙修复,那么拔牙后能马上...
【详细】
镶牙,主要是针对牙齿缺损、牙齿缺失后的治疗工作,如嵌体、全冠、义齿等,...
【详细】
镶牙是一种常规的牙齿修复方式,可以很好的恢复人们的牙齿缺失、缺损等情况...
【详细】
牙齿缺失会对我们的个人形象,生活,工作等带来很多不良影响。因此不少人牙...
【详细】
在我国口腔癌并不少见,其发生率约占全身恶性肿瘤的1.75%~5.18%,并呈逐年上...
【详细】
很多人因为牙齿损坏等情况需要拔牙,有朋友问拔牙后要立刻镶牙吗?对于这个...
【详细】
牙齿缺失后需要我们进行镶牙修复,而传统的镶牙主要分为活动义齿与固定义齿...
【详细】