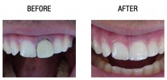
镶牙有什么基本常识?

镶牙很多人都听过,它算是牙齿缺失患者的福音,很多牙齿缺失患者想要镶牙,...【详细】
镶牙后如何清洁牙齿?

镶牙成为众多牙缺失患者的选择,很多人都认为镶牙之后就万事大吉了。暨南大...【详细】
义齿有哪些类型?

牙齿缺失对于我们来说,不仅仅只是不美观的,还影响我们生活。牙齿缺失患者...【详细】
镶牙有什么需要注意事项?

我们都希望自已的牙齿白白净净,整整齐齐,完好无损。可是生活中因为自已的...【详细】
拔牙后多久才能镶牙?

由于牙齿龋坏或因为意外导致需要拔牙处理,而拔牙之后不能让牙齿缺失,因此...【详细】
政学业多界在共商“广州创新发展道路”

为贯彻落实党的十八届五中全会精神、探讨如何实施创新驱动发展战略、为广州...【详细】
聚焦中国梦:学校第76期党员发展对象学习班开课

11月21日上午,暨南大学第76期党员发展对象学习班在管理学院楼101会议厅开班。...【详细】
儿童牙齿稀疏需要补钙吗?

儿童牙齿稀疏还是较常见的,而很多家长的做法就是补钙,那么儿童牙齿稀疏需...【详细】
牙齿稀疏是怎么形成的?

牙齿是人进食的重要器官,在生活中很多人的牙齿都被各种疾病所困扰,牙齿稀...【详细】
牙齿缝隙是如何变大的?

牙齿缝隙又名牙齿稀疏,是一种常见的口腔疾病。那么牙齿缝隙是如何变大的?...【详细】
版权:广州穗华口腔医院
备案号:粤ICP备15046903号
医疗广告审查证明文号:粤(A)广(2025)第1188号