活动牙齿矫正需要注意什么事项?

牙齿在生长发育过程中,由先天的遗传因素或后天的环境因素,如疾病、口腔不...【详细】
孩子戴牙套需要多少钱?

不少孩子在牙齿生长发育阶段都会出现各种畸形,此时的牙齿畸形,会影响到以...【详细】
糖尿病人如何预防牙周炎?

糖尿病患者唾液分泌量会减少,相对来说对口腔内杂物的清洁效果也会降低,因...【详细】
牙周病怎么治疗?

牙周病常见的症状是牙龈出血,晚期出现牙齿松动。有牙齿健康的沉默杀手之称...【详细】
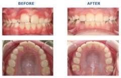
牙齿不齐怎么矫正?

看到明星一口整齐靓丽的牙齿,是否羡慕不已。随着现代医疗技术的进步,牙齿...【详细】
美容修复牙齿不齐哪里好?

牙齿东歪西倒是牙齿畸形的表现,对于这种现象,有很多患者都表示过不想做全...【详细】
牙齿不齐导致蛀牙吗?

暨南大学穗华口腔专家说:牙齿不齐、排列不规律的牙齿,会给刷牙或清洁带来...【详细】
根管治疗后为何还要做美容修复?

暨南大学穗华口腔专家说:根管治疗术,它称为牙髓治疗,是牙医学中治疗牙髓...【详细】
成人服用四环素类药物会使牙齿着色吗?

孩子在牙齿生长发育期间服用四环素类药物不当,使药物成分结合到牙组织内,...【详细】
《名医揭秘牙齿矫正专场讲座》开讲啦!

这么好!牙齿矫正减免10000元?还能免费获得原价350元口腔全景拍片各一次?还...【详细】
版权:广州穗华口腔医院
备案号:粤ICP备15046903号
医疗广告审查证明文号:粤(A)广(2025)第1188号