翻译学知名教授Roberto Valdeón 获聘暨南大学客座教

10月9日下午,应暨南大学翻译学院的邀请,翻译领域权威期刊Perspectives: Studie...【详细】
笑容不完美怎么办?

曾经听到有句话即使不开心也不要皱眉,因为你永远不知道谁会爱上你的笑容...【详细】
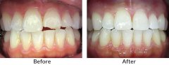
成功的美容修复怎么辨别?

美容修复能够快速矫正成人畸形牙、色素牙问题,因而受到万千美牙者的青睐,...【详细】
仿生美容冠设计详解

为什么有的人笑起来那么好看,而有的人即使明眸皓齿笑起来也没有什么特别之...【详细】
牙齿不齐怎么办?

随着现代口腔医疗技术的发展,牙齿不整齐 的问题也可以得到矫正,让牙齿重...【详细】
牙齿种植后要怎么保养?

种植牙具有其他牙齿修复方式无法媲美的优点,被广大牙齿缺失患者所接受。每...【详细】
什么时候种植牙好?

牙齿断裂了,这可怎么好?种植牙是现在社会牙齿修复方式的主要选择,种植牙...【详细】
十月敬老月系列公益活动正火热进行中

金秋送爽,又是一年一度的十月敬老月,暨南大学穗华口腔医院提出传承中华孝...【详细】
“百行孝为先”重阳节公益活动

正值重阳节来临之际,为呼吁全社会敬老爱老,构建幸福广东、和谐社会,暨南...【详细】
暨南大学舞蹈、武术艺术团组赴俄罗斯姐妹大学

9月21日至28日,应俄罗斯姐妹大学邀请,暨南大学学生艺术团及武术队师生组成...【详细】
版权:广州穗华口腔医院
备案号:粤ICP备15046903号
医疗广告审查证明文号:粤(A)广(2025)第1188号