虎牙是指唇侧错位的尖牙,它突出于牙弓之外。由于其牙冠大、牙根长,所以当...
【详细】
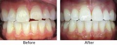
近些年来,牙齿美容修复由于其突出的优势受到广大爱美者的追棒,相比传统的...
【详细】
女人发自内心的微笑,就像清晨的一缕阳光,不仅仅能够倾倒心爱的男人,也能...
【详细】
你还在担心烤瓷牙美牙颜色假,出现牙龈变黑的问题吗?如果是,那你就不必担...
【详细】
中秋国庆就要来了,很多爱美人士可以借此空闲去医院进行牙齿美容,在牙齿美...
【详细】
牙齿美容时间要多长,在国庆期间进行牙齿矫正时间够吗?面对网友提出的这个...
【详细】
日前,广东省教育厅印发了《关于公布2015年广东省本科高校教学质量与教学改...
【详细】
缺牙、掉牙是长期困扰许多中老年人的难题,已经严重影响中老年人的生活质量...
【详细】
无托槽隐形矫正是日前非常流行、非常先进的牙齿矫正方式,它可以在无钢丝、...
【详细】
孩子在不同的年龄阶段牙齿畸形有什么特点,应该如何矫正它,下文听听穗华口...
【详细】