随着人们生活水平的不断提高,牙齿也越来越得到人们的关注,很多人都想通过...
【详细】
暨南大学穗华口腔专家认为,现代牙列不齐的人越来越多,是遗传和环境两大因...
【详细】
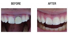
牙齿缺失,给我们的生活和工作都带来不利的影响。传统的方法是把牙齿补起来...
【详细】
在当今社会,牙齿缺失已经呈现年轻化的趋势,虽然中老年人是牙齿缺失的主要...
【详细】
种植牙虽然是一个小手术,但是术后的护理还是很重要的。那么,种植牙术后需...
【详细】
据权威报导指出:牙齿完整的人寿命要比牙齿缺失的人长。如果我们的牙齿长期...
【详细】
牙齿由于各种情况而出现掉牙,有意外撞击也有因为严重牙齿疾病而掉牙的,还...
【详细】
暨南大学敦聘M. Fillet、G. Somsen为客座教授
10月13日下午,药学院举行仪式,敦聘比利时列日大学Marianne Louise Hlne Fillet教授...
【详细】
每个人生来都拥有一口洁白的牙齿,只是牙齿在后天的生长发育过程中,慢慢地...
【详细】
四环素牙是在牙发育矿化期,服用的四环素族药物,可被结合到牙组织内,使牙...
【详细】