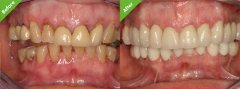
老百姓普遍知道蛀牙的危害,却不知道牙周病才是牙齿健康的最大杀手。临床中...
【详细】
牙髓病给人们带来了烦恼,令人们的饮食与生活都很不方便,所以对于生活中多...
【详细】
现代人越来越注重牙齿的整齐美观,随着现代口腔医疗技术的发展,牙齿矫正技...
【详细】
10月12日下午,暨南大学校董、中惠熙元集团董事长叶惠全一行莅临南校区参观...
【详细】
在当今世界,一副整齐的牙齿,漂亮的面型不仅有利于牙周健康的维护,而且是...
【详细】
牙齿不齐是儿童在生长发育过程中,由先天的遗传因素或后天的环境因素导致的...
【详细】
看看各大娱乐头条上哪些笑靥如花的明星大腕,无一例外都有一口整齐洁白的牙...
【详细】
您身边的亲朋好友是否正在受牙齿不齐 的困扰,牙齿不齐使患者脸部畸形,还...
【详细】
传统意义上,牙齿是我们重要的咀嚼器官,对于我们的口腔健康和食物消化有着...
【详细】
牙齿不齐是指儿童在生长发育过程中,由先天的遗传因素或后天的环境因素,如...
【详细】